Patní ostruha – vznik, konzervativní léčba a rázová vlna
Trápí Vás bodavé bolesti paty po delší zátěži, v noci, na dotek, při došlapu nebo při chůzi po městě, ale i v přírodě? Vystřeluje bolest do chodidla nebo naopak po Achillově šlaše do lýtka? Diagnostikoval Vám lékař Váš problém jako „plantární fasciitis“, „calcar calcanei“ nebo „patní ostruhu“? Pak je tento článek určen právě Vám.
Při přetížení vazivového aparátu nohy v oblasti úponů na patní kost nedochází k dostatečnému okysličení tkáně, je omezen přítok živin a odvod odpadních látek z postižené oblasti. Dochází k tzv. ischemickému zánětu – zánětu z nedostatečné výživy namáhaných měkkých tkání. Tento zánět (tzv. plantární fasciitida, respektive zánět chodidlové povázky), lidově popisovaný jako „patní ostruha“, se projevuje jako bolest paty a jejího blízkého okolí.
Příčiny vzniku bolesti při patní ostruze
Mezi faktory vyvolávající „patní ostruhu“ patří:
opakovaná a dlouhodobá zátěž nohy (běh, chůze po tvrdém terénu, dlouhodobý stoj…)
nevhodná obuv (úzká špička, tvrdá stélka, nepružnost podešve, nevhodný tvar stélky…)
deformity nohy (plochá noha v podélné ose, propad příčné klenby, tvarové deformity kostí…)
úrazy chodidla, paty a Achillovy šlachy
revmatická onemocnění
Vznik „patní ostruhy“

Pokud faktory vyvolávající zánět plantární fascie (vazivového obalu svalů) působí trvale, organismus se s dlouhodobým tahem úponu, případně jeho poraněním při zánětu snaží vypořádat. V postiženém místě dochází k velmi pomalému růstu kalcifikace (tvorby kostěného výběžku) – vzniká tzv. patní ostruha.
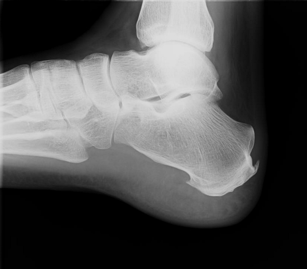
Pro ilustraci: na rentgenovém snímku si všimněte ostrých výstupků na patě. U tohoto klienta je patrná patní ostruha nejen na spodní části paty (plantární), ale dokonce i na zadním úponu Achillovy šlachy (dorzální). Tento klient se desítky let intenzivně věnuje profesi tesaře.
Diagnostika
V okamžiku, kdy začnete pociťovat bolestivé příznaky, je patní ostruha většinou již patrná při RTG (rentgenovém) vyšetření, které zobrazí kostní výrůstek v ose dlouhodobě přetěžované šlachy. Není však úplně nezbytné nechat se ozařovat rentgenovými paprsky. Patní ostruhu, ale dokonce i zánět ještě bez průkazu patní ostruhy, lze dobře zobrazit na diagnostickém ultrazvuku, který patří mezi neinvazivní (organismus nezatěžující) metody.
Konzervativní léčba
Obecně se využívají léky (masti, tablety, injekční obstřiky) na tlumení bolesti či zánětu. Tyto léky obvykle obsahují kortikoidy (hormonální léky), které sice většinou působí okamžitě a na jistou dobu uleví od příznaků, ale není možné je aplikovat často, neboť mají výrazné vedlejší účinky: zvětšují riziko zánětu v místě aplikace, omezují výživu měkkých tkání a tím zhoršují prokrvení a zpomalují hojení měkkých tkání. Dále způsobují vysušování tkáně, urychlují vznik artrózy a způsobují větší křehkost vazů a šlach.
Stále se ještě používá rentgenové ozařování, které ovšem kvůli nebezpečnému gama záření patří mezi invazivní (organismus zatěžující) metody. Z dalších běžných rehabilitačních procedur je hojně předepisován laser, terapeutický ultrazvuk a magnetoterapie. Jedná se o fyzikální terapie, které jsou běžně dostupné v rámci státních rehabilitačních zařízení, nicméně jejich efektivita je diskutabilní. Tím spíše, že jsou obvykle v rámci léčby předepisovány izolovaně bez intervencí, ovlivňujících důvod vzniku.
Operace
Podstatou operačního zákroku je odstranění patní ostruhy spolu s částečným odříznutím vazivových struktur v okolí patní kosti. Operatér skrz malé řezy zavede z jedné strany artroskop (endoskopický nástroj na vyšetření kloubů) a z druhé nástroje pro obroušení ostruhy na patní kosti a přetnutí vazivových úponů. Tento moderní operační výkon je méně invazivní oproti původní metodě s velkým řezem a odseknutím ostruhy. Po operaci je nutné po dobu až 6 týdnů chodit s berlemi a návrat k plnému zatížení včetně sportu je možný nejdříve po 3 měsících.
Léčba růstovými faktory z krevní plasmy
V porovnání s operačním řešením se jedná o méně invazivní výkon. Klientovi je odebrána plasma a růstové faktory jsou prostřednictvím injekce aplikovány do místa bolesti. Podobně jako u léčby rázovou vlnou není předmětem zákroku odstranění již vzniklého kalcifikátu, ale především eliminace bolestivého chemického zánětu.Jedná se o účinné, nicméně opět invazivní řešení.
Doporučený postup léčby
Mezi první, jednoduchá opatření patří snížení zátěže na patu a vazivový obal svalů. Doporučujeme tedy pořídit si gelové či pěnové stélky do bot, které tlumí nárazy paty na podložku při chůzi. Volte jinou, ortopedicky vhodnou obuv s měkkou, dobře ohebnou stélkou a dostatečným prostorem pro chodidlo. Velmi doporučujeme i snížení tělesné hmotnosti a s tím svázanou úpravu životního stylu a životosprávy.
Naprosto nezbytné je uvolnění lýtkového svalu a svalů v chodidle, které jsou důvodem vzniku patní ostruhy.
Doporučujeme pravidelné protahování svalů, masáže nohou, relaxační koupele, teplé obklady pro uvolnění svalového napětí (v akutní fázi zánětu teplý zábal nepodávejte, došlo by ke zhoršení zánětlivého procesu). Dobrými pomocníky v péči o nohy Vám mohou být molitanový míček či masážní míček s bodlinkami v podobě ježka. Velmi příjemné je i hnětení chodidla prsty rukou spolu s jednoduchými mobilizacemi drobných kloubů nohy.
Aplikace rázových vln

V porovnání s konvenčně předepisovanými terapiemi se jedná o silnou a zároveň neinvazivní léčebnou metodu. V praxi jsou dnes využívány zejména 2 odlišné typy rázových vln. Radiální rázová vlna, která působí na povrchu kůže a pomáhá především tím, že uvolňuje měkké tkáně. Tento typ rázové vlny nebývá aplikován na samotnou patní ostruhu, ale na tkáně, které mají funkční souvislost nejvíce přetíženým místem (např. lýtkový sval). Druhým typem rázové vlny je Fokusovaná, která vytváří rázy až 1000x rychleji, než radiální a působí intenzivně přímo v hloubce tkáně. Bývá aplikována přímo na patní ostruhu, kde účinně eliminuje chemický zánět, který je původcem bolesti, která intenzivně signalizuje přítomnost ostruhy. V našem centru se nám nejvíce osvědčil postup kombinující oba dva typy.
Komplexní léčba
Patní ostruha je jedním z nejčastějších problémů, které přivádějí klienty do našich ordinací. Řada z klientů je frustrována dlouhotrvající neúspěšnou léčbou a opakovanými recidivami problémů. Na jedné straně stojí nízká účinnost fyzikální léčby, kterou klient absolvoval a na straně druhé vytržení terapie z celkového kontextu řešení zdravotního problému.
Patní ostruha nevzniká náhodně. Její příčinou je dlouhodobé přetěžování měkkých tkání. Ačkoliv se projevuje na koncové části těla, její příčina může být např. ve vadném držení bederní páteře, které ovlivňuje souhru níže uložených svalových skupin. V případě, že “máte patní ostruhu “v rodině”, lze usuzovat spíše na dědictví nevhodných pohybových návyků, než na dědictví vrozené dysbalance, která by v pozdějším věku “nechala patní ostruhu vzniknout”. Přejete-li si patní ostruhy trvale zbavit, bude třeba pracovat fyzioterapeuticky s příčinou jejího vzniku - napravit držení těla tak, aby nebyly měkké tkáně v oblasti plosky nohy nadměrně přetěžované. Zkušený fyzioterapeut by Vám tedy měl umět vysvětlit proč patní ostruha vznikla a jaká režimová opatření byste měli dodržovat, aby se zánět vyléčil a znovu neznikl. Při výběru fyzikální metody je třeba brát v potaz, jak účinnost, tak časovou náročnost a případnou invazivitu. Předmětem aplikace fyzikální terapie není, jak bývá někdy mylně předpokládáno, rozdrcení již vzniklého kalcifikátu, ale eliminace chemického zánětu, který tento útvar obklopuje a způsobuje nepříjemnou bolest. Kombinace obou rázových vln a dodržování režimových opatření se v současné době jeví, jako jeden z nejúčinnějších postupů.
A jak vypadá terapie ve FYZIOklinice?
Na první návštěvě provede fyzioterapeut komplexní kineziologický rozbor, díky nemuž určí dysbalance, které mají souvislost se vznikem ostruhy.
Existuje-li pochybnost o přítomnosti patní ostruhy, ověří fyzioterapeut pomocí SONO přítomnost chemického zánětu kolem kalcifikace.
Fyzioterapeut provede manuální ošetření měkkých tkání v oblasti plosky a vysvětlí, jakými technikami byste měli doma uvolňovat měkké tkáně a jaké cviky vedou k optimalizaci správné svalové souhry, tj. léčbě příčiny vzniku.
Terapeut aplikuje Fokusovanou rázovou vlnu a zároveň u nás dostanete jako součást služby i aplikaci Radiální rázové vlny pro úplné uvolnění všech okolních svalů upínajících se na patní kost.
Na závěr ošetří fyzioterapeut celé místo hloubkovou vibrační masáží koncovkou V-Actor a nalepí funkční kineziotape, který udržuje ošetřené místo ve správném napětí i po Vašem odchodu z ordinace.
Jak dlouho trvá léčba?
Účinky aplikace rázové vlny se mohou lišit podle individuálních dispozic klienta, specifik jeho diagnózy a jeho schopnosti dodržovat stanovená léčebná opatření. Jinými slovy komplexní přístup v léčbě patní ostruhy a převzetí vlastní odpovědnosti za výsledky terapie (ve smyslu dodržování režimových opatření) je ve srovnání s pasivním pojetím léčby výrazně efektivnější. Svou roli hraje také včasnost terapie. Čím dříve klient přichází od prvních bolestivých signálů, tím menší je nutný počet opakování aplikací. Fokusovaná rázová vlna by měla být aplikována v časovém intervalu 1x/7-10 dní, přičemž byste měli počítat přibližně s 2-6 aplikacemi. U radiální rázové vlny je tento počet přibližně dvojnásobný.
Návody na cvičení:
- První pomoc při bolestech paty a chodidla
- Cviky při problémech s patní ostruhou
- Cviky při problémech s patní ostruhou s pomůckou
Autor: Mgr. Iva Bílková, FYZIOklinika s.r.o., Praha
Zdroj: Dlouholetá odborná praxe v oboru fyzioterapie, praktické zkušenosti v diagnostice a terapii s využitím fokusované rázové vlny.
Pozn.: Články prezentované na webu FYZIOklinika.cz nenahrazují odborné lékařské/fyzioterapeutické vyšetření a mají informativní charakter, tak abyste snadněji porozuměli dané problematice například po Vaší návštěvě fyzioterapeuta, lékaře nebo jiného specialisty. Cílem naší databáze článků je nabídnout Vám na jednom místě aktuálně dostupné informace o jednotlivých potížích pohybového aparátu, se kterými se můžete setkat, a to snadno pochopitelným jazykem (některá složitější zdravotní témata v zájmu snadnějšího pochopení zjednodušujeme). V případě, že na základě podobnosti zde popsaných projevů usuzujete na konkrétní diagnózu, doporučujeme Vám konzultovat Vaše potíže při osobní návštěvě lékaře nebo fyzioterapeuta. Informace zde prezentované nenaplňují znaky §2a zákona o regulaci reklamy č. 40/1995 Sb. Mohou být tedy prezentovány laické veřejnosti.
Související cviky
Související videa
Aktivace podélné a příčné klenby chodidla
Odtažení palce a správné nastavení podélné a příčné klenby nohy
Protažení lýtka a Achillovy šlachy
Senzomotorická stimulace plosek - uvolňování chodidla pomocí ježka
Články, které by vás mohly zajímat
Vbočený palec a léčba rázovou vlnou v moderní fyzioterapii
Informace o léčbě vbočeného palce (hallux valgus) pomocí fokusované rázové vlny.
Iva Bílková: Když se chůze stane utrpením...
Patní ostruha a bolest paty při chůzi: fyzioterapeutka Iva Bílková vysvětluje příčiny, příznaky i možnosti léčby včetně terapie rázovou vlnou. Zjistěte, kdy vyhledat fyzioterapii.
Místo deseti návštěv lékaře stačí jedna aplikace „té správné“ rázové vlny
Víte, že existují různé druhy rázové vlny? Jaké je jejich využití ve fyzioterapii? V tomto článku se dozvíte více.
Rázová vlna jako možná terapie kožních vředů
U kožních vředů dochází k poškození kožního krytu různé hloubky. Jednou z efektivních možností léčby je rázová vlna.
Z Vašich dotazů by Vás mohlo zajímat
Zmrzlé rameno
Dobrý den,již přes rok bojuji se zmrzlým ramenem. Byla jsem hospitalizovaná na rehabilitačním oddělení, ale rameno stále vzdoruje. Pohyb je strašně bolestivý, vlastně nemožný. Měla jsem akupunkturu, po které si myslím, že to bylo…
Bolest v tříslech a podbřišku po sportu
Dobrý den, je mi 31 let, hraji fotbal a jsem aktivní sportovec. Někdy v polovině října jsem po zápase cítil tlak v tříslech a když jsem zakašlal, tak mě bolelo i v podbříšku. Nikdy před tím jsem třísly problém neměl. Nechal j…
Léčba patní ostruhy
Dobrý den,chtěla bych se zeptat, jak dlouho trvá po rázové vlně pracovní neschopnost a zda je účinek rychlejší a dlouhodobější, než u běžné operace. Slyšela jsem, že u běžné operace se ostruhy odsekají, a časem zase dorostou. Za j…